友情提示
本站部分转载文章,皆来自互联网,仅供参考及分享,并不用于任何商业用途;版权归原作者所有,如涉及作品内容、版权和其他问题,请与本网联系,我们将在第一时间删除内容!
联系邮箱:1042463605@qq.com
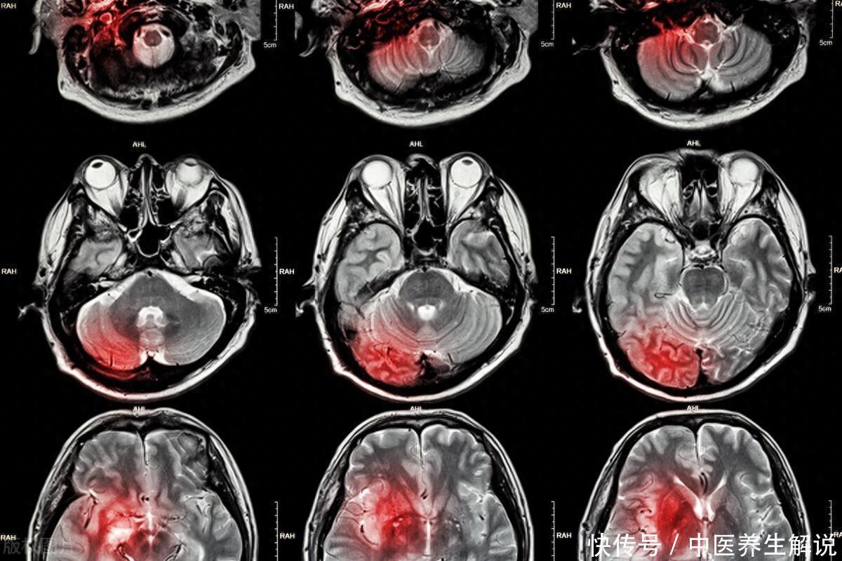
晨起爱抽烟的人,若出现这4个表现,可能是脑梗来临的信号!
61
0
相关文章
近七日浏览最多
最新文章
标签云
不良习惯
心脏
睡眠时间
心血管疾病
心肌梗死
血管堵塞
心脑血管疾病
鸡蛋
饮食习惯
优质蛋白
胆固醇
蛋白质
健身房
外卖
骆驼祥子
直肠癌
结直肠癌
肝气郁结
养肝护肝
肝脏
运动能力
英国医学杂志
心理健康
健康
沙发
跳广场舞
游泳
癌症
调味料
肿瘤
睡眠质量
慢性疾病
老年人
名医别录
枸杞子
肾脏
黑芝麻
核桃
医院
高血压
高脂血症
最强大脑
老年痴呆
解谜游戏
精神状态
真的爱你
在你身边
恐龙
汪小菲
私生活
大s
剧烈运动
脸型
娱乐圈
白鹿原
隐秘的角落
于正
李梦
李谷一
金铁霖
血管
高血压患者
血管内皮
麦芽糖
血糖
三高
他汀类药物
柚子
亚硝胺
心脑血管病
消化道出血
心脑血管
t淋巴细胞
他汀
mega
血液粘稠
颈动脉斑块
血液粘稠度
健康生活方式
冠心病
胰岛素抵抗
阿司匹林
血管狭窄
脑血管堵塞
炎症
高血脂
血液循环
脑血管疾病
叶酸
中国
牙菌斑
口腔
不饱和脂肪酸
非黑即白
同型半胱氨酸
缺血性脑卒中
肺癌
肺部
恶性肿瘤
神经病变
炸鸡
油炸食品
舒张压
血脂异常
骑自行车
慢性胃病
一日三餐
早餐
医科大学
脂蛋白
老陈
麻婆豆腐





